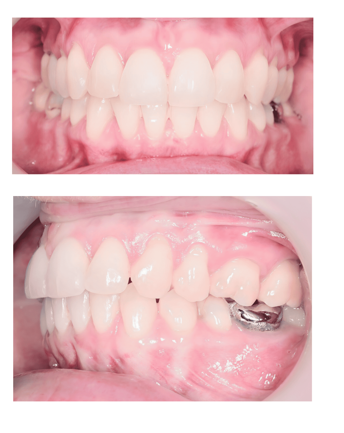
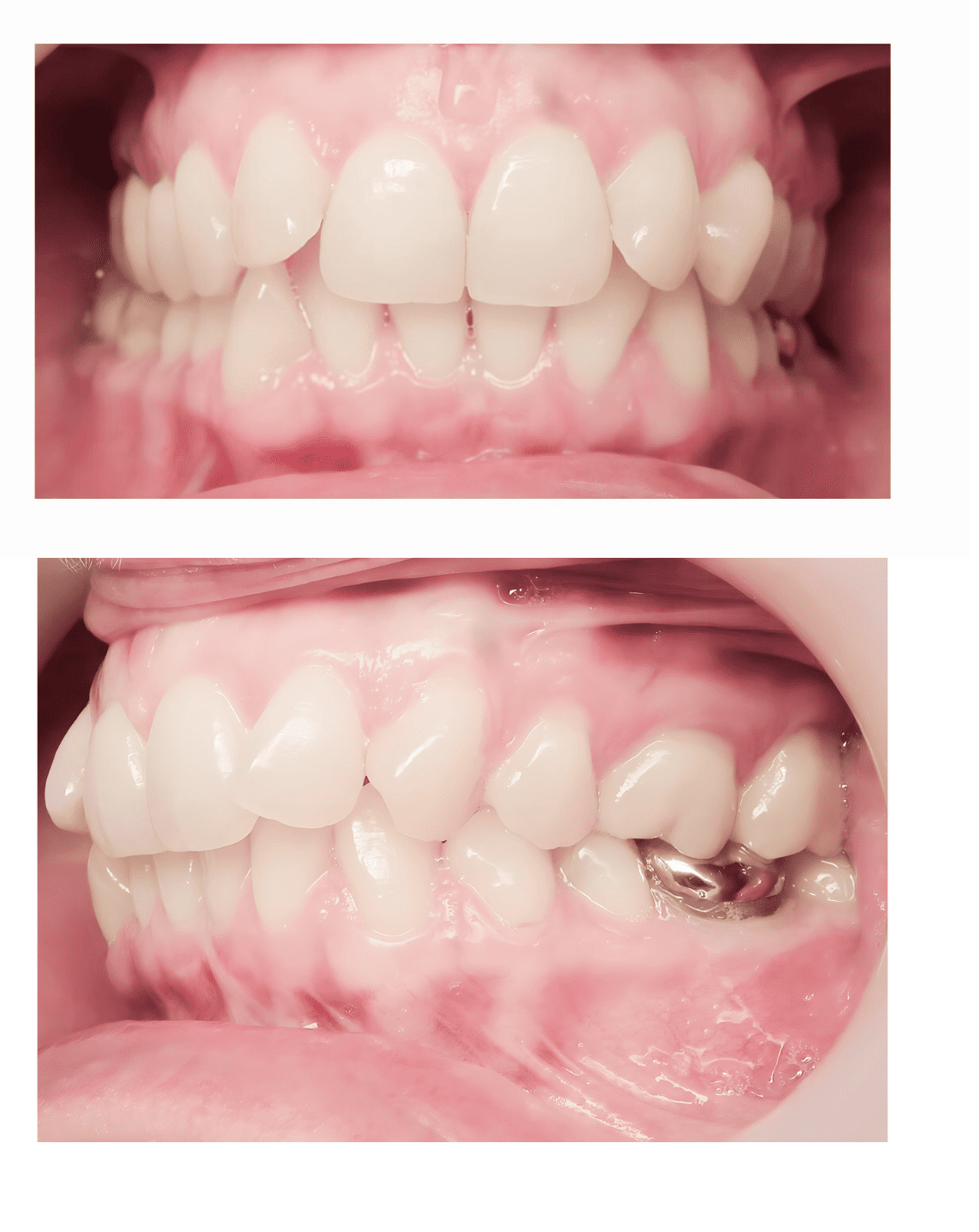
Eve_Intra_Avant Eve_Intra_Après