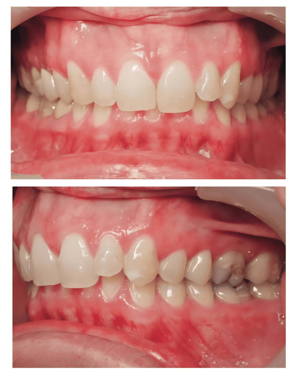
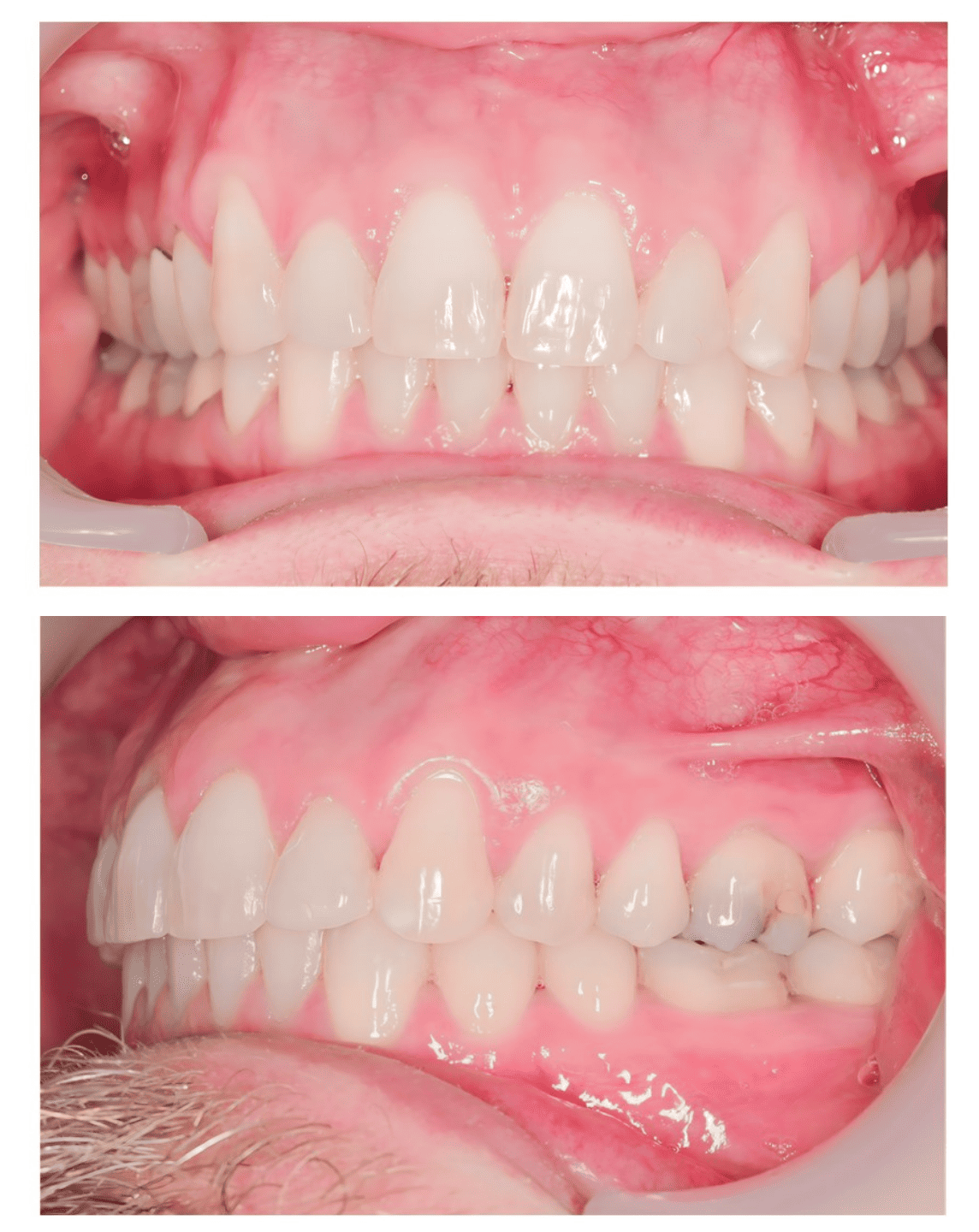
Hervé_Intra_Avant Hervé_Intra_Après